⏱ Okuma süresi: ~5 dakika | Yazar: Caner Balta, Ortodonti Uzmanı | Son Güncelleme: 09.04.2026
Doğrudan Yanıt (Özet)
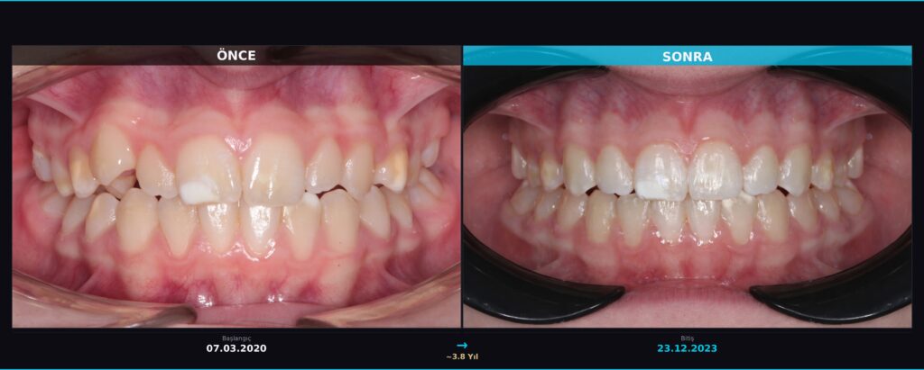
Invisalign, orta-ağır arası çapraşıklık, diastema (diş ayrıklığı) ve ısırma bozukluklarını düzeltebilen şeffaf plak sistemidir. Klinik çalışmalar, yeterli kullanım disipliniyle (günde ≥22 saat) geleneksel braket tedavisine kıyasla %90’ın üzerinde öngörülebilir ve benzer diş hareketi etkinliği bildirmektedir. Invisalign yaptıranların klinik anketleri, tedavi konforunun ve estetik memnuniyetin klasik tellere göre belirgin şekilde yüksek olduğunu göstermektedir. Başarı oranı; vaka seçimi, plak kullanım süresi ve ortodontistin dijital planlama (ClinCheck) deneyimiyle doğrudan ilişkilidir.
(Kaynak: Türk Ortodonti Derneği Şeffaf Plak Tedavisi Onam Formu & Align Technology Klinik Verileri, 2026).
Invisalign Kimler İçin Uygun?
Metal tel kullanmaktan çekinen, “telsiz ortodonti” arayışında olan, sosyal veya mesleki yaşamını kısıtlamak istemeyen ve tedavi öncesinde süreci şeffaf biçimde görmek isteyen yetişkinler ile ebeveynler için idealdir.
Invisalign Yaptıranlar Ne Diyor? (Gerçek Hasta Deneyimleri)
İnternette “Invisalign yaptıranlar memnun mu?” veya “Gerçekten işe yarıyor mu?” diye arattığınızda çok farklı yorumlar görebilirsiniz. Kliniğimizde tedavisi tamamlanan veya devam eden hastalarımızın en sık paylaştığı 3 temel deneyim şunlardır:
“Kimse fark etmedi…” “İş yerinde sürekli toplantılara giriyorum. Plakları takmaya başladığım ilk 2 ay boyunca, ben söyleyene kadar ofisteki kimse dişlerimde bir tedavi olduğunu anlamadı. Sadece çok yakından bakıldığında ataşmanlar hafifçe belli oluyor.” – (Merve T., 32)
“Yemek yerken çıkarmak büyük özgürlük…” “En büyük korkum geleneksel teldeki gibi fındık, fıstık, elma yiyememekti. Invisalign yaptıran bir arkadaşımın tavsiyesiyle başladım. Yemeğe otururken plağı çıkarıp istediğimi yiyebilmek harika bir konfor.” – (Burak K., 27)
“Başta 22 saat zor geldi ama alıştım…” “İlk hafta plakları sürekli tak çıkar yapmak ve günde 22 saat kuralına uymak beni zorladı. ‘Acaba yapamayacak mıyım?’ dedim. Ancak 2. haftadan sonra plaklar ağzımın bir parçası oldu, takmadığımda kendimi eksik hissetmeye başladım.” – (Aylin S., 24)



*Bu içerik, 12.11.2025 tarihli Resmî Gazete’de yayımlanan Sağlık Hizmetlerinde Tanıtım ve Bilgilendirme Faaliyetleri Hakkında Yönetmelik’e uygun olacak şekilde, yorumlara kapatılarak ve görseldeki hastamızın açık rızası alınarak hazırlanmıştır. Görsellerin tüm telif hakları kliniğimize aittir. Kliniğimizin bilgisi haricinde görsellerin yeniden yayınlanması yönetmelik gereği yasaktır.
*Her cerrahi veya girişimsel işlemde sonuçlar kişiden kişiye değişiklik gösterebilir. İşlem öncesinde hekiminizden detaylı görüş almanız önerilir.
Metal Tel Taktırmak İstemiyorsunuz Ama Sonuç da Almak İstiyorsunuz
Bu ikisi çelişkili değil. Ama doğru sistemde ve doğru ellerde olmanız gerekiyor. Invisalign yaptıran hastalarımızın büyük çoğunluğu kliniğe şu cümleyle geliyor: “Keşke daha önce başlasaydım.” Erteleyen her hastanın ortak paydası hep aynı: Ortodontik tedavinin görünür, rahatsız edici ve günlük hayatı bozan bir süreç olduğuna dair yerleşmiş bir inanç. Kliniğimizde gördüğümüz tablo ise çok daha farklı. Şeffaf plak tedavisine başlayan hastaların önemli bir kısmı birkaç hafta içinde sürecin ne kadar konforlu olduğunu yaşayarak fark ediyor.
Kliniğimizde Nasıl Planlanır? Dijital Simülasyon Ne Anlama Geliyor?
Tedavi sürecinin en güçlü yanlarından biri, hiçbir şeye başlamadan önce sonucu görmenizdir.
Bu sistem sayesinde ağzınız o eski, mide bulandıran fiziksel hamur ölçüler alınmadan üç boyutlu olarak taranıyor. iTero 3D dijital tarayıcı ve ClinCheck yazılımı ile dişlerinizin her aşamada nasıl hareket edeceği (ve tedavi sonunda nasıl görüneceği) size anında gösteriliyor.
Bu aşama, Invisalign yaptıranlar için en büyük dönüm noktasıdır. Çünkü soyut bir umut değil, kendi dişlerinizin somut geleceğini ekranda görüyorsunuz. Dr. Caner Balta’nın uluslararası Invisalign eğitmeni olarak sahip olduğu derin vaka deneyimi, bu dijital planlamanın gerçekçiliğini ve güvenilirliğini doğrudan etkiliyor.
Tedavi Boyunca Gerçekte Neler Yaşanıyor? (Tedavi Günlüğü)
Birinci gün kuralları öğrenmek için geçiyor; ikinci hafta alışkanlık oluyor; ikinci ayda rutin haline geliyor.
İlk 72 Saat: Dişlerde hafif baskı hissi normaldir — bu, diş hareketinin başladığının bir işaretidir. Konuşmada küçük bir “s” veya “ş” sesi değişikliği olabilir; diliniz plağa alıştığında (genelde ilk 24-48 saatte) konuşmanız tamamen normale döner.
Plak Kullanım Kuralı (Altın Kural): Günde en az 22 saat plaklar ağızda kalmalıdır. Sadece yemek yerken ve diş fırçalarken çıkarılır. Bu kurala uymak, tedavinin zamanında ve doğru sonuçla bitmesinin tek koşuludur.
Ataşmanlar: Bazı dişlerin üzerine, diş rengiyle birebir eşleşen küçük kompozit çıkıntılar (ataşman) yapıştırılıyor. Plak takılıyken tamamen görünmez oluyorlar ve dudak içini rahatsız etmiyorlar.
Kontroller: Genellikle 6–8 haftada bir kontrol yapılır. Geleneksel telin 4 haftalık randevu sıklığına kıyasla çok daha az klinik ziyareti gerektirir.
Olası Sınırlamalar ve Gerçekçi Beklentiler
- 22 saatin altında takılan plaklar dişleri planlandığı gibi hareket ettiremez; tedavi süresi uzar.
- Çok spesifik hareketlerde tek başına yeterli olmayabilir; ek aparey, lastik veya farklı bir yaklaşım gerekebilir.
- Tedavi bitince bitmez. Diğer tüm ortodontik tedavilerde olduğu gibi, ömür boyu “pekiştirme plağı (retainer)” kullanımı dişlerin sabit kalması için zorunludur.
- Yakın mesafede çok dikkatli bakılırsa plak ve ataşmanlar fark edilebilir; ancak orta ve uzak mesafede (günlük iletişimde) pratikte görünmez.
💡 Sık Sorulan Sorular (FAQ)
– Invisalign yaptıranların en çok zorlandığı konu nedir?
Klinik gözlemlerimize göre hastalar en çok ilk 1-2 haftalık adaptasyon sürecinde zorlanmaktadır. Günde 22 saat plağı ağızda tutma disiplinini kazanmak ve dışarıda yemek yerken plakları saklama kutusuna koymayı hatırlamak ilk başlarda çaba gerektirir. Ancak bu durum kısa sürede rutine dönüşür.
– Invisalign kimler için uygun DEĞİLDİR?
Ağır iskelet sorunları, ciddi dikey kapanış bozuklukları ve çok karmaşık diş hareketleri gerektiren vakalarda tek başına yeterli olmayabilir. Bu durumlar muayenede ve dijital tarama sonrasında netleşiyor. Uygun olmadığı durumlarda size alternatif planı açıkça anlatıyoruz.
– Plağı takmayı çok unuttum — tedavi uzar mı?
Evet, uzar. Plak öngörülen sürenin (günde 22 saat) altında takıldığında diş hareketi tamamlanamıyor. Hastalarımıza uyarımız nettir: Disiplin, tedavinin kendisi kadar önemlidir.
– Çocuğum için de uygun mudur? (Invisalign First / Teen)
Evet, Invisalign’ın ‘Teen’ ve ‘First’ versiyonları çocuklar ve gençler için tasarlanmıştır. Ebeveynler için en büyük avantajı, çocuğun yüzüne braket yapıştırılmaması ve diş bakımının (çürük riskini azaltarak) çok daha kolay olmasıdır. Uygunluk muayenede değerlendirilir.
– Tedavi sonrası dişler geri döner mi?
Retainer (pekiştirme) kullanılmazsa evet, geri dönüş riski vardır. Bu ortodonti tedavisinin genel bir gerçeğidir — sadece şeffaf plaklara özgü değildir. Size tedavi bitiminde pekiştirme planını net biçimde açıklıyoruz.
– Invisalign şeffaf plak fiyatları (2026) ne kadar?
Telsiz ortodonti fiyatları, vaka karmaşıklığına, kullanılacak plak sayısına ve tedavi süresine göre değişmektedir. Kesin bilgi dijital tarama sonrasında belirlenir; kliniklerimizde taksit seçenekleri de mevcuttur. [Güncel fiyat bilgisi almak için iletişim sayfamızı ziyaret edebilir veya WhatsApp’tan ön bilgi alabilirsiniz: 0212 706 75 85]
Kliniğimizde İlk Muayene: Sizi Neler Bekliyor?
Muayene bir satış görüşmesi değildir. Kliniğimizde iTero ile dijital taramanızı yapıyor, simülasyonu sizinle birlikte inceliyor ve vakanızın gerçekten şeffaf plak tedavisine uygun olup olmadığını açıkça söylüyoruz. Uygun değilse de bunu dürüstçe belirtiyor ve doğru alternatife yönlendiriyoruz.
Düşünmeniz çok doğal. Bu, sağlığınız için uzun vadeli bir karardır. Ama muayene olmadan “Benim dişlerim düzelir mi?” sorusunu kesin yanıtlamak mümkün değildir. Yanıt için bir randevu yeterlidir.
📍 Etiler Kliniğimize Ulaşın
Adres: Nisbetiye Mah., Saydam Sok. Saydam Apt. No: 6/1, 34340 Etiler/İstanbul
Ulaşım: Levent Metro İstasyonu’na yürüme mesafesinde; 34, 40T ve 40 numaralı otobüs güzergahındadır.
Çalışma Saatleri: Salı–Cuma 09:00–18:00 | Cumartesi 09:00–16:00 (Pazar ve Pazartesi kapalıyız)
SGK Durumu: 18 yaş altı ortodonti tedavileri SGK kapsamında kısmen karşılanmaktadır.
Randevu / WhatsApp: 0212 706 75 85
Yazar ve Medikal Editör: Caner Balta — Ortodonti Uzmanı, Uluslararası Invisalign Eğitmeni
Tıbbi Uyarı: Bu içerik Dr. Caner Balta tarafından klinik doğruluk açısından gözden geçirilmiş ve onaylanmıştır. Tüm tıbbi işlemlerde sonuçlar kişiden kişiye farklılık gösterebilir.*





















